Theta oscillations

Suthana Lab/UCLA

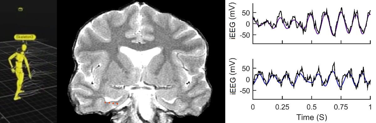
Real-time data downloaded from a patients wireless implant reveal the deep brain waves that support spatial navigation and memory.  

Download Photo (658.9 kB)