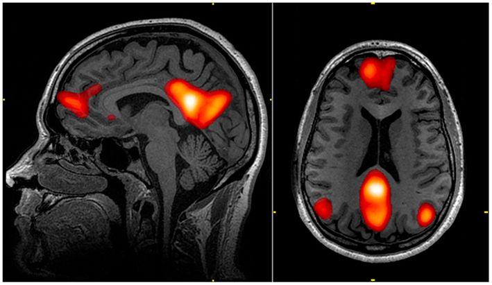
Default mode network

Walter Reed National Military Medical Center

The brains default mode network (highlighted in red)

Download Photo (255.2 kB)