Lactate production

Nature Communications/UCLA Broad Stem Cell Research Center

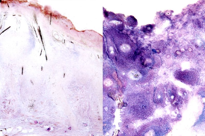
Squamous cell skin cancer tumors with lactate production (a byproduct of glucose consumption) in purple. The tumor with lactate production blocked (left) grew at the same rate as the tumor with normal lactate production (right).
 
 

Download Photo (533.5 kB)