UCLA researchers have discovered genetic similarities between the adult stem cells responsible for maintaining and repairing epithelial tissues — which line all of the organs and cavities inside the body — and the cells that drive aggressive epithelial cancers. Their findings could bring about a better understanding of how aggressive, treatment-resistant cancers develop and progress, and could eventually lead to new drugs for a range of advanced epithelial cancers such as lung, prostate and bladder cancers. 

The study, led by senior authors Owen Witte and Thomas Graeber, both of the UCLA Eli and Edythe Broad Center of Regenerative Medicine and Stem Cell Research and Jonsson Comprehensive Cancer Center, was published in the journal Cell Reports.

Epithelial cancers account for 80 to 90 percent of all cancers diagnosed in the United States, according to the National Cancer Institute. Almost every type of epithelial cancer can develop into a highly aggressive form that metastasizes, or spreads rapidly to other organs in the body, and resists standard-of-care treatments such as radiation and chemotherapy.

As part of a new and promising approach to cancer research, scientists are now seeking to uncover commonalities among these aggressive epithelial cancers in order to inform the development of “pan-cancer” therapies, those that can treat a range of cancers originating in different tissues.

“Pinpointing the molecular and genetic features common among multiple cancer types is crucial because it reveals new targets for drugs that could work for a broad range of aggressive cancer types that do not respond to current therapies,” said Witte, founding director of the UCLA Broad Stem Cell Research Center and distinguished professor of microbiology, immunology and molecular genetics.

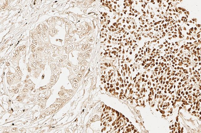
This new study identifies genetic features that are found across not only aggressive cancers from different epithelial tissues but also the human adult stem cells that renew and regenerate epithelial tissues throughout life. Identifying the genetic similarities between aggressive cancers and adult stem cells could give researchers a better understanding of what genetic factors fuel these cancer cells’ rapid spread — and how to stop this process.

“The challenging thing about studying cancer cells is that there’s a great deal of dysregulation and instability in the cells that has nothing to do with them being cancerous — it’s just white noise,” said Graeber, director of the UCLA Metabolomics Center and professor of molecular and medical pharmacology. “If you can find shared features with healthy cells, it can remove the white noise and give you a higher resolution view of what’s going on in these aggressive cancer cells.”

In 2015, the paper’s co-first author Bryan Smith, a postdoctoral fellow in Witte’s lab, found that aggressive prostate cancer cells share some genetic features with the adult stem cells that naturally reside in the healthy prostate.

Building on this finding, Smith and co-first author Nikolas Balanis, a postdoctoral researcher in Graeber’s lab, decided to take a step back and see if this signature could also be found in adult stem and aggressive cancer cells from other epithelial tissues.

To do this, the collaborators utilized publicly available genetic data from healthy adult stem cells taken from patient intestines, mammary and prostate glands as well as cells from patients with different epithelial cancers including aggressive prostate and lung cancers. Much of the cancer data came from The Cancer Genome Atlas, or TCGA, a U.S. government-funded project that aims to catalogue the genetic mutations responsible for cancer. The project offers comprehensive genetic data on healthy and cancerous tissue taken from more than 11,000 patients with 33 types of cancer.

Using computational methods to analyze this data, the team established a genetic signature that was found across the populations of healthy adult stem cells taken from the three epithelial tissues. They then searched for the adult stem cell signature within TCGA’s data on epithelial cancers and found that it was expressed at higher levels in cancers that had become aggressive and were thus associated with worse patient outcomes. Many of the cancers with this signature belonged to a deadly, pathology-based subtype called small cell neuroendocrine carcinoma. Small cell neuroendocrine carcinomas can develop from many forms of epithelial cancer and are appearing more frequently as patients become resistant to modern therapies.

“Our research suggests that some epithelial cancers, regardless of tissue of origin, possess stem-like genetic features and activate this program when becoming the more deadly small cell neuroendocrine type,” said Smith, a 2016 Prostate Cancer Foundation Young Investigator.

The researchers hope that their discovery of this adult stem cell genetic signature might one day be used by clinicians to identify patients whose cancers will become aggressive, which would inform treatment strategies. They also aim to use this new knowledge to better understand and model the process by which cancers develop resistance to current treatments, which could inform the development of new pan-cancer therapies.

The research was supported by the Prostate Cancer Foundation; the National Institutes of Health; the Department of Defense Prostate Cancer Research Program; the Parker Institute for Cancer Immunotherapy; the American Cancer Society; the National Center for Advancing Translational Sciences; the UCLA Broad Stem Cell Research Center, including the Hal Gaba Director’s Fund for Prostate Cancer Research, the UCLA Medical Scientist Training Program, the UCLA Specialized Program of Research Excellence in Prostate Cancer, and the W.M. Keck Foundation.