The BMJ
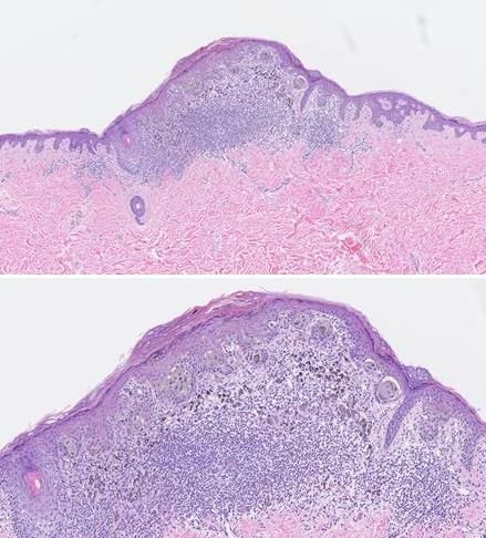
Scan (at two resolutions) of a category 3 melanoma in situ.

FINDINGS

In a new study, researchers have developed updated guidelines for classifying a serious form of skin cancer called invasive melanoma. The American Joint Committee on Cancer, an organization that provides information on “cancer staging,” or the severity of individual cases of cancer, recently updated its guidelines for melanoma. The researchers found that when pathologists used the new guidelines for cases of early stage invasive melanoma, they agreed with an expert-defined diagnosis 10 percent more often.

METHOD

In the study, researchers reviewed 4,342 analyses of 116 cases of invasive melanoma, made by a total of 187 pathologists from 10 U.S. states.

The physicians’ interpretations were compared with an expert consensus diagnosis to assess accuracy. The pathologists were unaware that they were interpreting the same set of cases twice; the second viewing occurred at least eight months after the first.

BACKGROUND

Every few years, the AJCC updates guidelines for categorizing cancers. Physicians use the guidelines to estimate patients’ prognosis, determine surgical options, and evaluate whether they are candidates for other therapies or clinical trials. The guidelines should enable pathologists to provide an accurate diagnosis that would be the same as the diagnosis another pathologist would give.

In a prior study, the same researchers showed that pathologists disagreed about the diagnosis of early-stage invasive melanoma more than 50 percent of the time, and they wanted to learn if the new guidelines would lead to more reliable diagnoses.

IMPACT

Pathologists may be able to more accurately classify invasive melanoma using the new guidelines. Although there was only slight improvement in how often pathologists agreed on characterizing invasive melanoma, that difference could help improve treatment outcomes for some patients.

Still, the likelihood that pathologists will agree on the diagnosis of early-stage melanoma tissue and make an accurate diagnosis is low.

AUTHORS

The study’s first author is Dr. Joann Elmore, professor of medicine at the David Geffen School of Medicine at UCLA. The senior author is Dr. Michael Piepkorn of the University of Washington School of Medicine.

JOURNAL

The study was published in the JAMA Network Open.

FUNDING

The study was supported in part by the National Cancer Institute.