FINDINGS

UCLA researchers have discovered that timing is everything when it comes to preventing a specific gene mutation in mice from developing rare and fast-growing cancerous tumors, which also affects young children. This mutation can also cause a benign tumor condition in humans in adulthood.

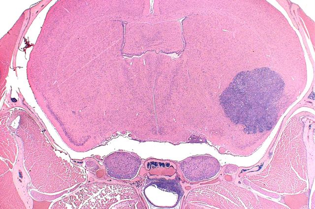
The scientists found that when one tumor suppressor gene is turned off or inactivated during early stages of a developing mouse embryo, it induces the formation of a malignant tumor. The research demonstrates that this type of malignant tumor will not form if the gene is inactivated during later stages of nerve development. However, when combined with the inactivation of a second tumor suppressor, non-cancerous tumors develop in older mice.

The research, led by Dr. Marco Giovannini, a member of UCLA’s Jonsson Comprehensive Cancer Center and senior author of the study, is the first of its kind to analyze the functional role of mutations in a mouse model with both tumor suppressor genes known as SMARCB1 and NF2.

BACKGROUND

A tumor predisposition syndrome is a genetic disorder in which inherited genetic mutations predispose the affected individuals to the development of multiple tumors. People who carry SMARCB1 gene mutations are predisposed to either rhabdoid tumor predisposition syndrome or familial schwannomatosis syndrome, but the mechanisms causing one or the other disease are still unknown.

The rhabdoid tumor predisposition syndrome affects infants and toddlers who develop malignant, highly aggressive tumors mainly in the brain, spinal cord, kidney and other soft tissues. Treatment for rhabdoid tumors involves surgery and chemotherapy, but patients have a poor prognosis.

Adults with SMARCB1 gene mutations are at higher risk of developing familial schwannomatosis, typically developing non-cancerous schwannoma tumors, which can affect any nerves inside the human body. Symptoms can include painful lumps or tingling and numbness that are treated with surgery. 

METHOD

Giovannini and his colleagues used genetically modified mice to induce different gene mutations during development of rhabdoid and schwannoma tumors. The researchers also found that malignant tumors in this mouse model had very similar molecular features to human rhabdoid tumors.

IMPACT

The study’s findings will be used to refine and develop new therapies and treatments, which could benefit young children and adults with these tumor syndromes.

AUTHORS

Giovannini is a professor in residence in the department of head and neck surgery at the David Geffen School of Medicine at UCLA and first author Jeremie Vitte is an assistant researcher in the department of head and neck surgery at the medical school. Co-authors are Dr. Giovanni Coppola, associate professor in residence, and Fuying Gao, a data analyst in the department of psychiatry and biobehavioral sciences and in the Semel Institute for Neuroscience and Human Behavior at the medical school. Dr. Alexander Judkins, vice chair in the department of pathology at USC’s Keck School of Medicine, also contributed to this study.

JOURNAL

The study is published online in the journal Nature Communications.

FUNDING

The research is supported by the United States Department of Defense and the Children’s Tumor Foundation.