Scientists discover how COVID-19 virus causes multiple organ failure in mice December 7, 2020 UCLA’s ...
Gene therapy gives man with sickle cell disease the chance for a better future November 30, 2020 “It’s ...
UCLA researchers create millions of diverse T cells from a single blood stem cell October 29, 2020 The ...
UCLA receives nearly $14 million from NIH to investigate gene therapy to combat HIV June 15, 2020 ...
Six patients with rare blood disease are doing well after gene therapy clinical trial January 27, 2020 UCLA ...
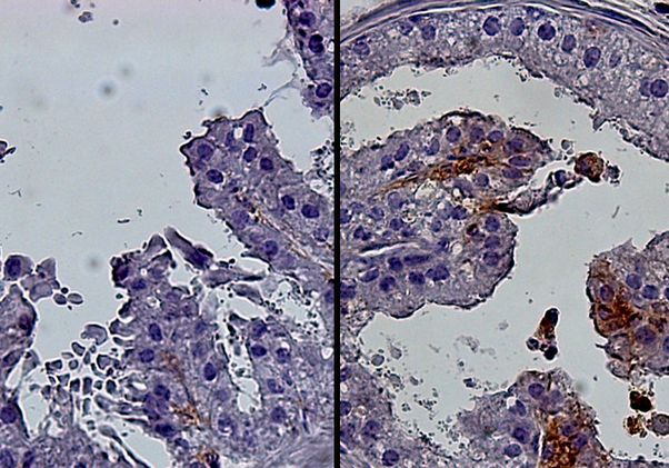
Researchers create accurate model of organ scarring using stem cells in a lab December 10, 2019 The ...
Researchers identify protein that governs human blood stem cell self-renewal November 27, 2019 The ...
Researchers identify molecular process that could accelerate recovery from nerve injuries October 2, 2019 ...
Engineered killer T cells could provide long-lasting immunity against cancer September 23, 2019 The ...