UCLA professor Jesse Rissman said the left rostrolateral prefrontal cortex is important in accessing knowledge that was formed in the past and making decisions about it.
The psychologists demonstrate for the first time that when forced to choose between a parent and a close friend on a decision with financial consequences, young adults are more likely to choose the parent.
Greg Bryant, a professor of communication, studies the nature of laughter — and what it reveals about the evolution of human communication and cooperation.
An emotion called ‘kama muta’ is typically accompanied by moist eyes or tears, chills or goosebumps, a warm feeling in the body, a feeling of exhilaration and a motivation to help others.
The psychology professor says women can tap into their “uniquely female power” to make life decisions — decisions that will help them to choose mates, avoid danger, compete with female rivals and produce healthy children.
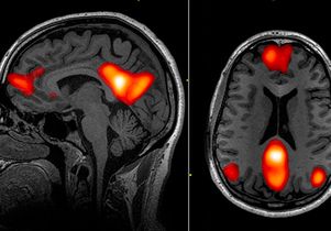
“If the results ... are replicated in future studies, the methods we used could potentially give clinicians a new predictive tool,” said UCLA doctoral student Nicco Reggente.
The substance’s beneficial properties might be due to its ability to reduce inflammation, which has been linked to both Alzheimer’s disease and major depression, according to Dr. Gary Small.
The findings suggest that keeping a close watch for signs of anxiety, depression and other difficulties and educating the child’s peers about their condition may be necessary for this age group.
The results bolster the argument for making cognitive behavioral therapy more widely available for treating the disorder, which affects more than one in 50 people in the U.S.
Divided attention does impair memory, but a UCLA study found that people can still selectively focus on what is most important — even while they’re distracted.
The Semel Institute for Neuroscience and Human Behavior is one of a handful of hospitals and clinics nationwide that offer a treatment that works in a fundamentally different way than drugs.
Paradoxically, the strong relationship between stress level and the tendency to forget course material was most prevalent among students who are most confident in their own mathematical abilities.