Dr. Bartly Mondino of the Jules Stein Eye Institute writes that a proposal in the state legislature to permit optometrists to perform eye surgeries risks far too much harm.
The center offers therapeutic leisure activities, exercise classes, art therapy, cognition improvement strategies, and health and nutrition education to help MS patients.
UCLA’s Dr. Jonathan Fielding chaired panel whose report called for increased coordination both within the Department of Health and Human Services and across federal agencies.
As Americans struggle with obesity and diabetes, UC researchers say that new nutrition labels could help consumers change their shopping choices and ultimately their diets.
It’s important for medical professionals to understand that one’s gender identity as man, woman or trans is different from one’s sexual identity as gay, bisexual, lesbian or heterosexual.
An innovative program that serves low-income and uninsured children in Los Angeles has more than tripled preventive dental visits for children from birth to age 5, according to a new UCLA policy brief.
New five-year grant supports biomedical research that accelerates the translation of laboratory discoveries into more effective treatments for patients.
Findings from UCLA-led research lend support to the idea that physician assistants and nurse practitioners could fill gap in health care services as nation faces doctor shortage.
The recognition “reflects our commitment to delivering the highest quality of care to this community,” said Karen Grimley, UCLA Health’s chief nurse executive.
One honoree, UCLA alumna Kelly Dumke, is already working on the front lines in communities in L.A. County against a well-known and entrenched enemy, early childhood obesity.
Because of the pioneering work of Dr. Donald Kohn, a researcher with UCLA's Broad Stem Cell Research Center, the potential to bring stem cell therapies to patients is now a reality.
Asian-Americans who have a certain genetic variant are more likely to crave carbohydrates and fast food than those without it, according to a UCLA study.
Some 200 UCLA medical students in the Class of 2016 received their M.D.s Friday in Perloff Courtyard during the Hippocratic Oath Ceremony for the David Geffen School of Medicine at UCLA.
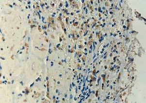
A team of scientists led by doctors at UCLA demonstrated that a modified virus has been shown to extend the lives of people with recurrent gliobastoma.
Scientists found that a protein called cystatin E/M can inhibit cellular inflammation, which is a major contributor to the growth of the disease; the discovery could lead to the development of new treatments.
The study’s lead author, Dr. Stephen Kim, emphasized that the risk of transmitting bacteria through procedures that use a duodenoscope is extremely low.
A report from the UCLA Center for Health Policy Research contains key recommendations to overcome the critical gaps in understanding how the law, which takes effect June 9, will work.