UCLA researchers develop synthetic T cells that mimic form, function of human version June 26, 2018 The ...
Excellence of UCLA Mattel Children’s Hospital reflected in pediatric care rankings June 26, 2018 Eight ...
Latest Gates Foundation grants will advance research on educational inclusion and global immunization June 6, 2018 The ...
Scientists see inner workings of enzyme telomerase, which plays key roles in aging, cancer June 6, 2018 A ...
Personalized vaccine may increase long-term survival in people with deadliest form of brain cancer June 5, 2018 Nearly ...
Gut bacteria play critical role in anti-seizure effects of ketogenic diet, UCLA scientists report May 24, 2018 The ...
California children are drinking less soda but are getting more calories from sugary sports and energy products May 24, 2018 ...
Study predicts most people with earliest Alzheimer’s signs won’t develop dementia associated with the disease May 21, 2018 The ...
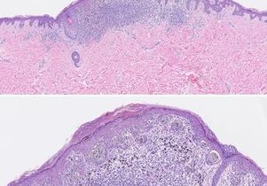
New guidelines may slightly increase reliability, accuracy of melanoma diagnoses May 18, 2018 In a ...
Social connections may prevent HIV infection among black men who have sex with men May 16, 2018 The ...
Lab-confirmed prenatal exposure to Zika is linked to cardiac defects in infants May 16, 2018 Women ...